Speekselklierafwijkingen
Mucocoele
De mens heeft 6 grote speekselklieren en daarnaast in het mondslijmvlies van lippen, wangen en verhemelte nog heel veel kleine speekselkliertjes. Het speeksel bevat enzymen voor de spijsvertering en dient tevens om de mondslijmvliezen vochtig te houden.
Meestal komt een patiƫnt als er klachten zijn. In veel gevallen is er dan een zwelling van de klier. De oorzaak kan berusten op vochtretentie, een ontsteking, een tumor, of een algemeen lichamelijke oorzaak.
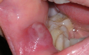
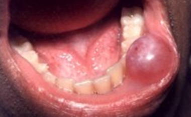
Een van de meest voorkomende afwijkingen is het opgezwollen speekselkliertje in de onderlip, de mucocoele. De mucocoele schemert vaak een beetje blauw. Bij doorprikken komt er wat taai ingedikt speeksel uit. De behandeling bestaat uit een chirurgische verwijdering. Deze kan onder plaatselijke verdoving plaatsvinden.
Meestal komt een patiƫnt als er klachten zijn. In veel gevallen is er dan een zwelling van de klier. De oorzaak kan berusten op vochtretentie, een ontsteking, een tumor, of een algemeen lichamelijke oorzaak.
Een van de meest voorkomende afwijkingen is het opgezwollen speekselkliertje in de onderlip, de mucocoele. De mucocoele schemert vaak een beetje blauw. Bij doorprikken komt er wat taai ingedikt speeksel uit. De behandeling bestaat uit een chirurgische verwijdering. Deze kan onder plaatselijke verdoving plaatsvinden.


Speekselsteen
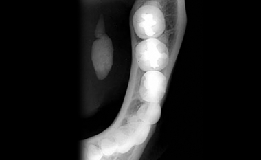
Een ander vaak voorkomend probleem is zwelling t.g.v. stuwing in de klier door steenvorming. Dit zien we vaak bij de speekselklier die ter hoogte van de kaakhoek ligt. Een kenmerk is, dat de klier snel opzwelt tijdens de maaltijd en soms zo groot wordt al een ei. Na de maaltijd neemt de zwelling weer geleidelijk af.
Bij de diagnostiek wordt bekeken waar de steen ligt. De steen kan liggen in de afvoerbuis welke in de mondbodem loopt of in de klier. Als de steen op een gunstige plek ligt in de afvoerbuis kan meestal volstaan worden met het verwijderen van de steen. In de meeste gevallen kan dit onder plaatselijke verdoving. Als de steen in de klier ligt, moet meestal de speekselklier verwijderd worden. Dit gebeurt onder narcose via een snede in de hals ter hoogte van de kaakhoek.
Voor alle overige afwijkingen zal eerst uitgebreide diagnostiek gedaan moeten worden om de aard van de afwijking en de daarbij passende behandeling vast te stellen.
Bij de diagnostiek wordt bekeken waar de steen ligt. De steen kan liggen in de afvoerbuis welke in de mondbodem loopt of in de klier. Als de steen op een gunstige plek ligt in de afvoerbuis kan meestal volstaan worden met het verwijderen van de steen. In de meeste gevallen kan dit onder plaatselijke verdoving. Als de steen in de klier ligt, moet meestal de speekselklier verwijderd worden. Dit gebeurt onder narcose via een snede in de hals ter hoogte van de kaakhoek.
Voor alle overige afwijkingen zal eerst uitgebreide diagnostiek gedaan moeten worden om de aard van de afwijking en de daarbij passende behandeling vast te stellen.

